SPA DENTAL
Tratamientos dentales
TRATAMIENTO DE ORTODONCIA Y ORTOPEDIA
El tratamiento de ortodoncia y/o ortopedia nos ayuda a prevenir o corregir problemas en forma, función, posición y relación de dientes y maxilares. Contamos con variedad y calidad de brackets Metálicos, Autoligados y Estéticos que de acuerdo a las características de cada persona son adecuados para su tratamiento.
CARILLAS DENTALES
Las carillas son láminas muy delgadas, pueden ser de porcelana, zirconia o resina. Se utilizan para cubrir dientes astillados, manchados, desalineados o para dar un aspecto de color más claro como la sonrisa que siempre quisiste.
BLANQUEAMIENTO DENTAL
Los dientes amarillentos pueden generar una inquietud estética y falta de confianza al hablar y sonreír.
El consumo de café, vino tinto, fumar e incluso algunos alimentos, pueden pigmentar los dientes.
Los estudios muestran que las personas que confían en su sonrisa llevan una vida en general más saludable.
El blanqueamiento aclara la tonalidad de los dientes para lograr una sonrisa más estética y saludable.
Ofrecemos varias opciones de sistemas de blanqueamiento dental con láser, a un precio económico y con resultados exitosos.
CIRUGÍA BUCAL
La cirugía bucal es un término amplio que se refiere a una amplia gama de procedimientos que involucran las encías y los dientes.
Estos son algunos de los tipos más comunes de cirugías bucales que le podemos ofrecer:
Cirugía de terceros molares
Llamadas comúnmente “muelas del juicio”, cuando se encuentren mal posicionadas, surgen problemas que ocasionan que se tengan que extraer.
Implantes dentales
Un implante dental es una raíz de diente artificial en forma de tornillo hecha de titanio que reemplaza la raíz natural. Está diseñado para fusionarse con el hueso. Una vez fusionado, puede servir como ancla para soportar nuevos dientes de reemplazo.
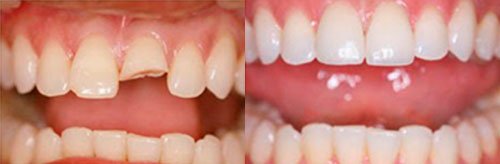
CORONA Y PRÓTESIS FIJA
Las coronas dentales se realizan a la medida de cada paciente para verse y actuar como los dientes naturales, funcionan para cubrir un diente deteriorado por caries o fractura, después de un tratamiento de endodoncia o sobre un implante dental, de tal manera que restaura la función y estética de sus dientes, mejorando la apariencia de su sonrisa.

Una Prótesis fija consiste en la colocación de uno o varios dientes artificiales conectados a coronas de dientes o implantes, para sustituir uno o más dientes faltantes. Contamos con variedad de materiales que simulan dientes reales.
ENDODONCIA
El tratamiento de endodoncia está diseñado para retirar el nervio y eliminar las bacterias que se encuentran dentro de la raíz del diente infectado y por este medio lograr salvar el órgano dental.
Cuando se realiza la endodoncia, se extrae el nervio inflamado o infectado y el interior del diente se limpia y desinfecta cuidadosamente para sellarlo con material estéril, quedando listo para ser restaurado por medio de una corona, incrustación o resina, según sea el caso.
Salvar el diente natural con un tratamiento de endodoncia tiene muchas ventajas:
- Se elimina la infección del órgano dentario.
- Se salva el diente de una extracción.
- Elimina dolor.
- Masticación eficiente.
- Fuerza y sensación normal al morder.
- Apariencia natural.

LIMPIEZA DENTAL
La limpieza dental profesional es un procedimiento realizado por un odontólogo o higienista que consiste en eliminar la placa bacteriana, el sarro y las manchas acumuladas en los dientes y encías. Se utiliza equipo especializado, como ultrasonido y herramientas manuales, que permiten una limpieza profunda que no se logra únicamente con el cepillado diario.
Este tratamiento ayuda a mantener una boca sana, fresca y libre de bacterias que pueden causar caries, mal aliento, gingivitis y enfermedades periodontales.
Levar una limpieza dental tiene muchas ventajas:
- Elimina el sarro y la placa bacteriana acumulada.
- Previene caries y enfermedades en las encías.
- Reduce el mal aliento (halitosis).
- Masticación eficiente.
- Mejora la apariencia natural de la sonrisa.
- Ayuda a detectar problemas dentales a tiempo.
- Refuerza la higiene bucal diaria.
- Mantiene dientes y encías saludables.
ODONTOPEDIATRÍA

La profilaxis y revisión dental de rutina de los niños es importante para que su hijo mantenga una buena higiene bucal, prevenga las caries y las enfermedades bucales en sus próximos años.
Durante su cita de control, realizamos de rutina:
Limpieza dental (Profilaxis), Aplicación de fluoruro y brindamos información sobre su correcta higiene y plan de tratamiento bucal de acuerdo con su edad. Tratamos padecimientos como:
- Caries de biberón.
- Lesiones en dientes (fracturas).
- Hábitos perniciosos (succión de dedo, uso de chupón, hábito de lengua, entre otros).
- Mal posición de los dientes.
- Fluorosis (Manchas en los dientes, generalmente blancas).
- Falta de simetría entre el maxilar y la mandíbula.
PERIODONCIA
La presencia de Placa Dental por días, meses o años causa inflamación y sangrado de encías, sarro o cálculo dental, mal aliento y hasta pérdida de dientes, debido a la incorrecta técnica de cepillado y el uso de hilo dental. En Spa Dental Lindavista te mostramos las técnicas adecuadas para evitar este tipo de problemas en el futuro.
Otras opciones de tratamiento puede ser la eliminación de sarro con equipo de ultrasonido
Tratamiento de las encías
La recesión gingival o encías retraídas, es una afección dental caracterizada por el desgaste del tejido de las encías que expone la raíz de los dientes.
Los espacios que se forman a partir de esta afección provocan la acumulación de bacterias que causan enfermedades.
Injerto de hueso
Es una técnica quirúrgica muy utilizada que tiene como funciones más comunes: Preservar hueso después de una extracción, aumentar la cantidad de hueso necesaria para la próxima colocación de un implante, para brindar un buen soporte óseo para prótesis dentales, y así rellenar el alveolo (cavidad que queda después de una extracción).